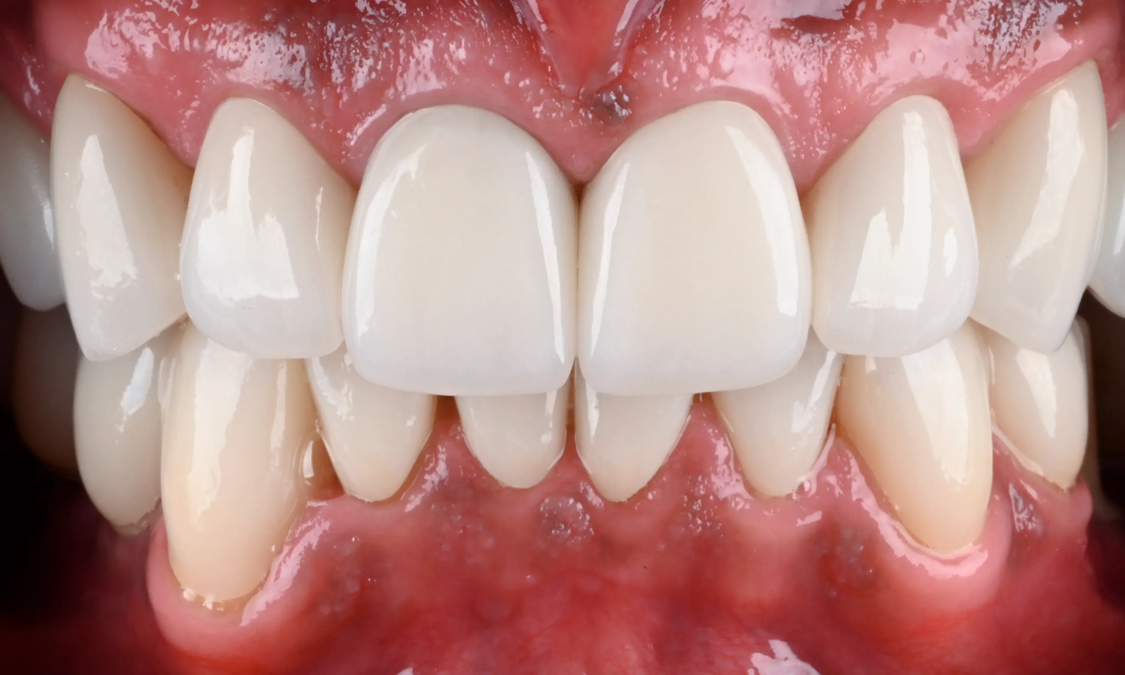
Mit moderner Technologie und optimiertem Workflow: Zahntechnik ohne Kompromisse.
Das Beste aus zwei Welten: Handwerkliche Perfektion beim Schichtkonzept und digitale Höchstleistung durch unser Planungskonzept. Das Ergebnis ist ein hochoptimierter Prozess, der von der ersten Planung bis zur finalen Eingliederung keine Kompromisse zulässt – effektiv und präzise.
Für uns bei dental shapes war dieses Projekt die Gelegenheit, die Grenzen einer modernen Zahntechnik neu zu definieren.
Next case.
(2016-25©)






