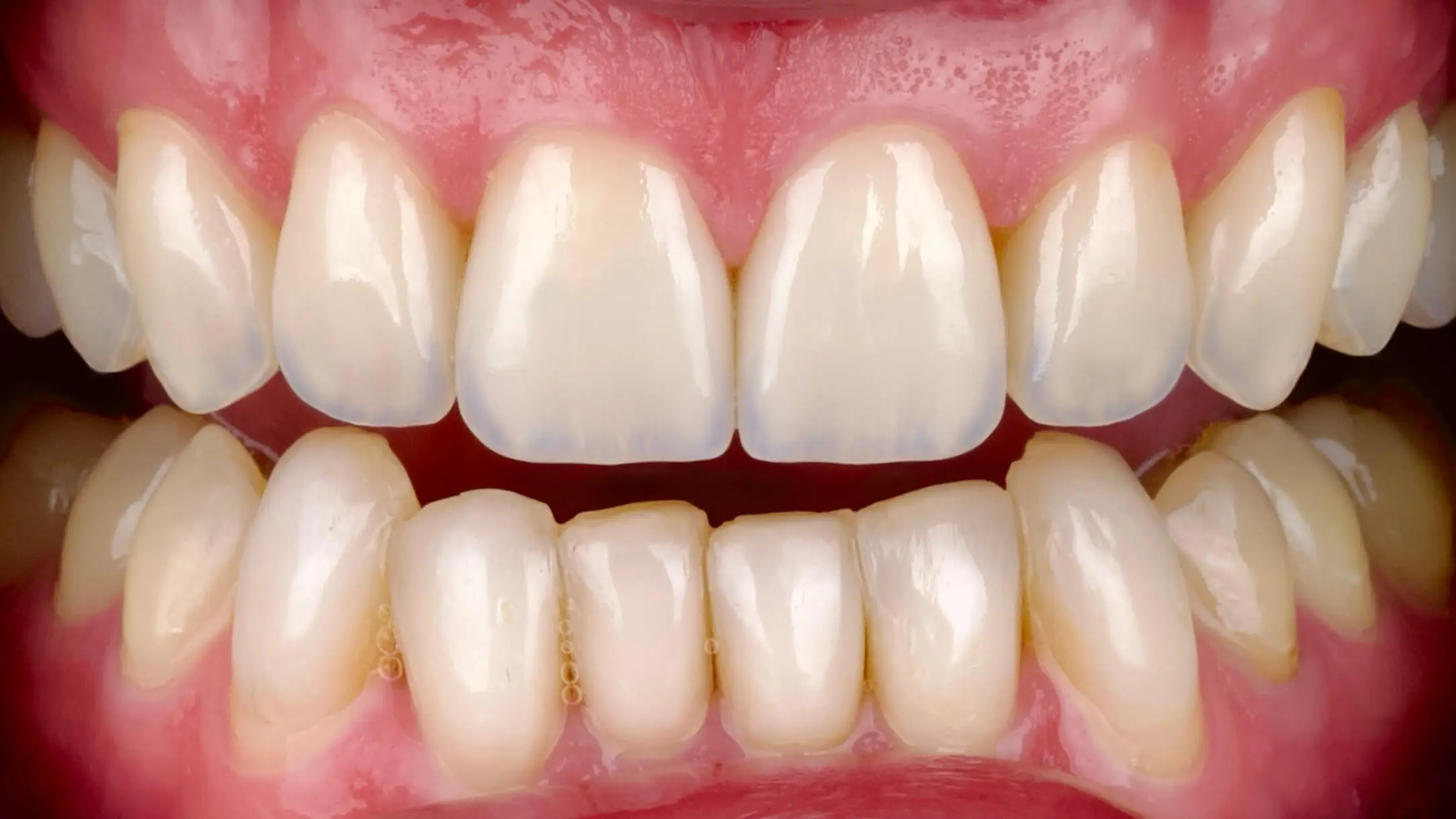
Substanzschonende Versorgung bei maximaler Stabilität.
Unsere Arbeit endet nicht bei der bloßen Fertigung von Zahnersatz. Wir verstehen uns als Ihr Partner, der die Grenzen der modernen Zahntechnik verschiebt. Durch die Symbiose aus hochoptimierten digitalen Workflows und analogem Handwerk erschaffen wir Ergebnisse, die in Ästhetik und Funktion Maßstäbe setzen. Diesen Ansatz verfolgend nutzen wir modernste Technologie wie Smile Design, CAD/CAM und die "maschinelle Nachfräsung anatomisch verblendeten Keramik" nicht als Selbstzweck, sondern um Sicherheit und Präzision für Ihren Patienten zu garantieren. Gleichzeitig bewahren wir uns die Leidenschaft für Details – wie bei der Planung des Profils für ein Schichtkonzept. Das Ergebnis sind individuell zugeschnittene Lösungen, die Ihren Patienten die Sicherheit zurückgeben, unbeschwert zu lachen.
Vom ersten Scan bis zur finalen Eingliederung: Qualität ohne Kompromisse.
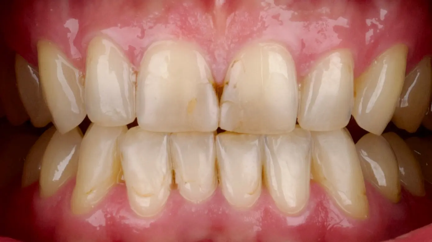
Next case.
(2016-25©)





